Dreaming occurs not only during REM sleep but also in non-REM sleep stages, with differences in vividness and narrative structure; recent research shows dreams are more frequent and varied than previously thought, challenging the idea that dreams only happen during REM sleep.
Waking up between 3-5 AM is often a sign from your body indicating stress, circadian misalignment, or sleep debt. These early awakenings are linked to natural hormonal cycles and REM sleep phases, and understanding them can help improve sleep quality by aligning routines with your biological clock, managing stress, and optimizing light exposure. Embracing your chronotype and listening to your body's signals can lead to better sleep health.
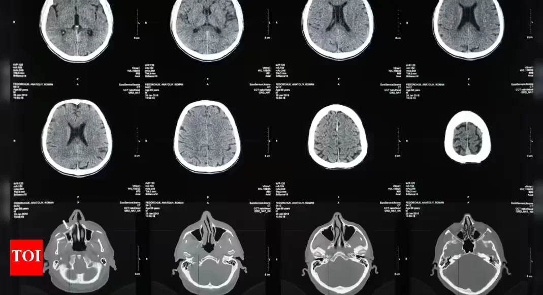
A long-term study shows that spending less time in deep and REM sleep is associated with brain shrinkage in regions vulnerable to Alzheimer's disease, emphasizing the importance of quality sleep for long-term cognitive health and suggesting lifestyle habits to improve sleep architecture.
Research suggests that delayed or reduced REM sleep may be an early indicator of Alzheimer's disease, with longer time to reach REM linked to higher levels of brain proteins associated with the disease. Improving sleep habits and addressing sleep disorders could be key in early detection and prevention of dementia, alongside other healthy lifestyle choices.
A study using brain scans of 20 people revealed distinct neural activity patterns during awakening from REM and non-REM sleep, explaining why waking up can feel different and sometimes difficult, especially after REM sleep, and providing insights into sleep quality and alertness.
New research on the avian brain and REM sleep in birds suggests that birds may dream, challenging historical assumptions about animal consciousness. Studies have revealed that birds' brains share similarities with human brains, particularly in the regions associated with planning, sensory processing, and emotional responses, which are also crucial for REM sleep. This challenges past beliefs that birds were mere automatons and opens up new possibilities for understanding the nature of dreams and consciousness across species.
Sleep deprivation, even just one night of less than six hours of rest, can impair short-term memory and hinder the brain's ability to form and recall memories. The longer one goes without adequate rest, the greater the burden on the brain, with extreme sleep deprivation causing behavior similar to intoxication. Lack of REM sleep, which occurs in the final hours of rest, may lead to difficulty remembering things, increased irritability, and anxiety.
Sleep is a crucial process that allows the body to rest and recover. Different age groups require varying amounts of sleep, ranging from 14-17 hours for newborns to 6-7 hours for adults. Sleep consists of different stages, including NREM and REM sleep, with each stage serving different functions such as energy conservation, self-repair, and brain maintenance. Sleep deprivation can have detrimental effects on health, including increased inflammation, hypertension, heart disease, impaired glucose tolerance, insulin resistance, and an increased risk of various diseases. Factors such as excessive stimulant use, smoking/alcohol consumption, obesity, sedentary lifestyle, and vitamin deficiencies can disrupt sleep patterns and contribute to sleep disorders. Proper treatment of sleep disorders is essential for maintaining overall health.
A study conducted on mice by researchers from the University of California Los Angeles has found that caffeine consumption can delay the onset of REM sleep and alter blood flow to the brain. The study observed that caffeine caused mice to sleep more solidly but delayed their short nap during the latter part of their awake phase. Additionally, daily caffeine administration shifted the onset of sleep, particularly REM sleep, by up to two hours relative to the light-dark cycle. The researchers also discovered that brain blood flow was higher when the mice were awake and lower during sleep, except during periods of REM sleep when there were significant increases in brain blood flow. These findings suggest that caffeine affects sleep patterns and brain function, potentially impacting overall sleep quality.
REM sleep, also known as rapid eye movement sleep, is the stage of sleep where our brain activity is most likely to be recalled and reported when we're awake. It is believed to serve multiple purposes, including preventing us from sleeping too deeply, regulating body temperature, and consolidating memories and emotions. During REM sleep, our brain undergoes a deep-cleaning process, restoring chemicals and tidying up recent memories and feelings. Dreams during this stage may be a result of the brain's attempt to make sense of the day's activities. While the scientific understanding of the physiological aspects of REM sleep is good, the psychological and spiritual aspects of dreaming remain largely hidden.
The locus coeruleus, a small brain nucleus responsible for managing noradrenaline, has been found to play a crucial role in regulating REM sleep and its impact on cognitive processes such as memory and emotions. Advanced MRI studies have revealed a correlation between locus coeruleus activity during wakefulness and REM sleep quality, particularly in individuals aged 50-70. These findings could provide insights into sleep disorders and their connection to conditions like Alzheimer's disease.
Researchers are discovering signs of REM sleep in a variety of animals, including spiders, lizards, cuttlefish, and zebrafish. These animals exhibit behaviors similar to rapid eye movement (REM) sleep, such as eye movements, twitching, and changes in brain activity. While the exact nature of their sleep and whether they dream is still being investigated, these findings challenge the notion that dreaming is limited to humans and suggest that it may be more widespread in the animal kingdom than previously thought.
Octopuses, the first known invertebrates to exhibit REM sleep, have been found to experience both periods of quiet sleep (NREM sleep) and bursts of neural activity similar to the waking state during REM sleep. Researchers observed the animals' eyes and tentacles twitching while their skin changed color, suggesting that octopuses may be capable of dreaming. The study also revealed similarities between the neural activity of octopuses and humans, further highlighting the complex cognitive abilities of these cephalopods. Further research is needed to determine if the color changes during REM sleep are indeed indicative of dreams.
Octopuses have sleep patterns remarkably similar to humans, transitioning between a "quiet" stage and an "active" stage resembling REM sleep. During the active stage, their arms and eyes twitch, their breathing quickens, and their skin flashes with vibrant colors, suggesting they may even dream. Researchers found that octopuses cycle through the same skin patterns while sleeping, potentially practicing camouflage or reactivating patterns associated with waking experiences. The study highlights the similarities between octopus and human sleep behavior, suggesting that possessing an active sleep stage may be a general feature of complex cognition. The findings indicate that sleep, and potentially dreaming, is a fundamental need for life.
Octopuses exhibit sleep cycles similar to REM sleep in humans, suggesting the presence of this sleep stage in creatures with complex cognition. Disruption in sleep prompts octopuses to enter the active sleep phase more frequently, emphasizing its importance. Changes in their skin patterns during this active sleep phase imply that octopuses may be "dreaming" or rehearsing their waking experiences. The study highlights the remarkable similarities between octopuses and humans in terms of sleeping behavior and provides insights into the origin and function of sleep.