Tag

Tapeworm

All articles tagged with #tapeworm

"100-Million-Year-Old Tapeworm Found Trapped in Amber"

Originally Published 1 year ago — by Yahoo Life

Featured image for "100-Million-Year-Old Tapeworm Found Trapped in Amber"
Source: Yahoo Life

Parasitologists in China have discovered a 100-million-year-old tapeworm fossil in amber from Myanmar, representing one of the oldest families of parasites. The well-preserved specimen, found in the intestines of a prehistoric shark or ray, could provide valuable insights into parasite evolution. While the idea of extracting DNA from the fossil to potentially recreate ancient hosts like dinosaurs raises "Jurassic Park" scenarios, the researchers are primarily focused on the scientific significance of the find for paleoparasitology and the preservation of internal structures in amber.

"Discovery of 100-Million-Year-Old Preserved Creature in Amber Confirms Real-Life Jurassic Park"

Originally Published 1 year ago — by Giant Freakin Robot

Featured image for "Discovery of 100-Million-Year-Old Preserved Creature in Amber Confirms Real-Life Jurassic Park"
Source: Giant Freakin Robot

Scientists have discovered a 100-million-year-old tapeworm preserved in amber, raising the possibility of extracting DNA from prehistoric hosts, similar to the concept of Jurassic Park. The rare find offers insight into ancient parasites and their potential hosts, with the tapeworm possibly originating from a marine endoparasite that became trapped in the amber after its host died on land, or from an ancient sea creature eaten by a land-roaming dinosaur.

"Undercooked Bacon Consumption Linked to Brain Tapeworm Infestation in Man"

Originally Published 1 year ago — by The Daily Beast

Featured image for "Undercooked Bacon Consumption Linked to Brain Tapeworm Infestation in Man"
Source: The Daily Beast

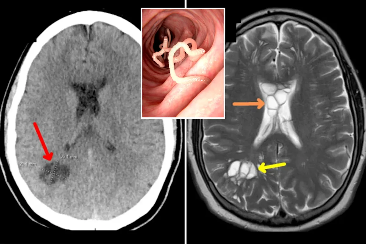
A 52-year-old American man with a history of consuming undercooked pork presented with severe migraines, leading to the discovery of tapeworm larvae in his brain. The condition, neurocysticercosis, is caused by ingesting eggs found in the feces of humans with taeniasis. The patient was successfully treated with anti-inflammatory and anti-parasitic medications after admitting to a lifelong preference for undercooked pork. The case highlights the rare but potential risk of neurocysticercosis from autoinoculation due to improper handwashing after contracting taeniasis.

"Undercooked Bacon Linked to Parasitic Worms in Man's Brain"

Originally Published 1 year ago — by The Independent

Featured image for "Undercooked Bacon Linked to Parasitic Worms in Man's Brain"
Source: The Independent

A 52-year-old man in the US developed tapeworm larva in his brain, likely from consuming undercooked bacon, leading to neurocysticercosis. Despite no recent travel to endemic areas or contact with pigs, the man's habit of eating undercooked bacon and poor hand hygiene likely caused the infection. The case highlights the increasing frequency of such infections in developed countries and the importance of considering neurocysticercosis in evaluating acute changes in migraines.

Man's Chronic Migraines Caused by Brain-Infesting Worm Eggs

Originally Published 1 year ago — by WWMT-TV

Featured image for Man's Chronic Migraines Caused by Brain-Infesting Worm Eggs
Source: WWMT-TV

A 52-year-old man in Florida suffering from chronic migraines was found to have tapeworm eggs in his brain, causing significant swelling and cysts. The parasite likely entered his body through undercooked bacon consumption, leading to a diagnosis of neurocysticercosis. Despite not having recently traveled abroad, the man's case highlights the potential risks of consuming contaminated food. He was treated with anti-inflammatory and antiparasitic medications to address the infection and swelling.

"Tapeworm Infestation: The Surprising Cause of a Man's Chronic Migraines"

Originally Published 1 year ago — by KOMO News

Featured image for "Tapeworm Infestation: The Surprising Cause of a Man's Chronic Migraines"
Source: KOMO News

A 52-year-old man in Florida suffering from chronic migraines was found to have tapeworm eggs in his brain, causing significant swelling and cysts. The parasite likely entered his body through undercooked bacon consumption, leading to a diagnosis of neurocysticercosis. Despite not having recently traveled abroad, the man's doctors believe his preference for soft bacon may have been the source of the infection. He was treated with anti-inflammatory and antiparasitic medications to address the swelling and eliminate the tapeworm eggs.

"Worm Eggs Found in Man's Brain Causing Chronic Migraines"

Originally Published 1 year ago — by WKRC TV Cincinnati

Featured image for "Worm Eggs Found in Man's Brain Causing Chronic Migraines"
Source: WKRC TV Cincinnati

A Florida man suffering from chronic migraines was diagnosed with neurocysticercosis, a parasitic infection caused by tapeworm eggs in his brain, likely contracted from consuming undercooked bacon. The patient's cysts and migraines improved after receiving anti-inflammatory and antiparasitic medications, and the case was published in the American Journal of Case Reports.

"Tapeworm Infestation: The Surprising Cause of a Man's Persistent Headaches"

Originally Published 1 year ago — by NDTV

Featured image for "Tapeworm Infestation: The Surprising Cause of a Man's Persistent Headaches"
Source: NDTV

A 52-year-old man in the US sought medical help for severe migraines and was shocked to discover that he had a tapeworm infestation in his brain, likely contracted from eating undercooked bacon. Diagnosed with neurocysticercosis, he was treated with antiparasitic and anti-inflammatory medications, leading to the disappearance of the cysts and improvement in his migraines. This case highlights the rare occurrence of infected pork in the US and raises public health implications, with an estimated 1,320 to 5,050 cases of neurocysticercosis reported annually in the country.

"Florida Man's Persistent Headaches Caused by Brain-Invading Tapeworm from Undercooked Bacon"

Originally Published 1 year ago — by Yahoo Life

Featured image for "Florida Man's Persistent Headaches Caused by Brain-Invading Tapeworm from Undercooked Bacon"
Source: Yahoo Life

A Florida man's severe migraines turned out to be caused by a tapeworm infestation in his brain, likely from eating undercooked bacon. The man's preference for soft bacon and undercooking made him vulnerable to neurocysticercosis, a condition where tapeworm eggs infect the body. The CDC warns that this unusual ailment is preventable but can lead to hospitalization for about 1,000 Americans annually. The patient was treated with a deworming drug and showed improvements, prompting clinicians to be vigilant about changes in migraine patterns.

"Florida Man's Migraines Caused by Brain Tapeworm from Undercooked Bacon"

Originally Published 1 year ago — by New York Post

Featured image for "Florida Man's Migraines Caused by Brain Tapeworm from Undercooked Bacon"
Source: New York Post

A Florida man suffering from severe migraines was found to have a tapeworm infestation in his brain, likely caused by consuming undercooked bacon. The man's preference for soft bacon and undercooking made him vulnerable to neurocysticercosis, a condition where tapeworm eggs infect various parts of the body. The CDC warns that this ailment is preventable but can lead to hospitalization for about 1,000 Americans annually. The patient was treated with a deworming drug, albendazole, and showed improvements after two weeks.

"Live Worm Found in 52-Year-Old Man's Brain Causing Constant Migraines"

Originally Published 1 year ago — by Daily Mail

Featured image for "Live Worm Found in 52-Year-Old Man's Brain Causing Constant Migraines"
Source: Daily Mail

A 52-year-old man in Florida who suffered from persistent migraines was found to have a live tapeworm in his brain that had laid eggs, causing cysts and swelling. It's believed that he contracted the parasite from eating undercooked bacon. The condition, known as neurocysticercosis, can be life-threatening if left untreated. The patient was treated with medication and his cysts disappeared, leading to an improvement in his migraines. The case highlights the potential public health implications of encountering infected pork in the United States.

Parasite triples ants' lifespans.

Originally Published 2 years ago — by ScienceAlert

Featured image for Parasite triples ants' lifespans.
Source: ScienceAlert

A tapeworm called Anomotaenia brevis infects Temnothorax nylanderi ants and pumps antioxidants and other proteins into their bloodstream, which may help them live three times longer than their uninfected peers. The tapeworm's proteins account for a substantial portion of the ants' hemolymph, and some of them have no known equivalent in other organisms. Infected ants are treated like royalty, and their uninfected peers do the worker's chores, carry them around, feed them, and groom them for the rest of their days. However, the uninfected ants die much earlier, and workers give their queens less loving care as they tend to the infected, which may spell trouble for the colony.

Man's cough turns out to be tapeworm infestation

Originally Published 2 years ago — by msnNOW

Featured image for Man's cough turns out to be tapeworm infestation
Source: msnNOW

A Brazilian man who went to the hospital with a cough was found to have tapeworm larvae in his body. The condition, called cysticercosis, is caused by ingesting tapeworm eggs, often found in undercooked pork. While usually harmless, the larvae can cause health problems if they travel to other parts of the body, such as the brain. The Taenia solium, or pork tapeworm, is responsible for 30% of epilepsy cases in endemic regions. Poverty and lack of access to medication often lead to poor treatment of the condition.