
Liquid-nitrogen cocktail bursts stomach, prompting emergency repair
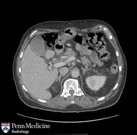
A 34-year-old man in Mexico suffered severe abdominal pain seconds after drinking a smoky cocktail infused with liquid nitrogen. He was found to have a ruptured stomach with pneumoperitoneum and underwent laparoscopic repair using tissue from his abdomen, recovering and being discharged three days later. The report highlights the dangers of consuming liquid nitrogen in beverages, which can rapidly expand as it warms, and notes that safety hinges on allowing the nitrogen to vaporize completely; the Leidenfrost effect may have helped shield tissue from cold burns.













