Tag

High Intensity Exercise

All articles tagged with #high intensity exercise

High-Intensity Exercise Reverses Parkinson's Neurodegeneration

Originally Published 1 year ago — by SciTechDaily

Featured image for High-Intensity Exercise Reverses Parkinson's Neurodegeneration
Source: SciTechDaily

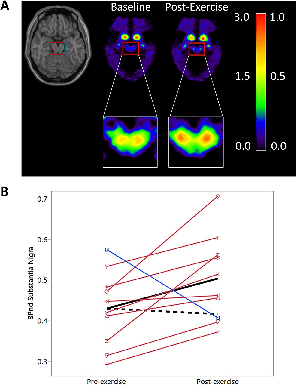
A new pilot study suggests that high-intensity exercise may reverse Parkinson’s disease-related neurodegeneration by preserving and strengthening dopamine-producing neurons in the brain. The study, involving 10 patients, showed that after six months of high-intensity aerobic exercise, the neurons had grown healthier and produced stronger dopamine signals. This pioneering research offers new hope for managing Parkinson's disease through physical activity and highlights the importance of including an exercise regimen as part of the treatment plan.

"Study Shows High-Intensity Exercise Reverses Parkinson's Neurodegeneration"

Originally Published 1 year ago — by Medical Xpress

Featured image for "Study Shows High-Intensity Exercise Reverses Parkinson's Neurodegeneration"
Source: Medical Xpress

A pilot study suggests that high-intensity exercise may have the potential to reverse neurodegeneration in Parkinson's disease by preserving and strengthening dopamine-producing neurons in the brain. The study involved 10 patients and showed that after six months of high-intensity aerobic exercise, the neurons had grown healthier and produced stronger dopamine signals. This finding highlights the importance of including exercise as part of Parkinson's treatment plans and suggests that exercise may have neuroprotective effects at the neuronal level. Additional research is needed to fully understand the disease-modifying potential of exercise in Parkinson's.

"15-Minute Kick-A$ Workout for Maximum Impact"

Originally Published 1 year ago — by Fatherly

Featured image for "15-Minute Kick-A$ Workout for Maximum Impact"
Source: Fatherly

AMRAP (as many reps as possible) workouts are a great way to maximize the benefits of a short workout session, forcing you to work at a high intensity for a concentrated period of time. These workouts are effective for building muscular endurance and providing cardiovascular exercise, but they should not completely replace traditional strength training. Incorporating AMRAPs into your fitness routine can help you achieve both muscle strength and aerobic growth. Two sample AMRAP workouts are provided, each consisting of 4-5 exercises to be performed in a 15-minute time frame, with the goal of completing as many rounds as possible.

The Importance of Recognizing Heart Attack Symptoms in Fit Individuals

Originally Published 2 years ago — by Times of India

Featured image for The Importance of Recognizing Heart Attack Symptoms in Fit Individuals
Source: Times of India

Sudden cardiac death, characterized by abrupt loss of consciousness due to cardiac causes, is on the rise, with coronary artery disease being the most common cause. High-intensity exercise has been identified as a potential trigger for heart attacks in the gym. Other causes include genetic diseases, cardiomyopathies, and myocardial infiltrative diseases. Warning signs include fainting episodes, seizures, and heart failure. Identifying and treating risk factors for coronary artery disease is crucial, and individuals with a family history of sudden cardiac arrest should undergo cardiac evaluation.