
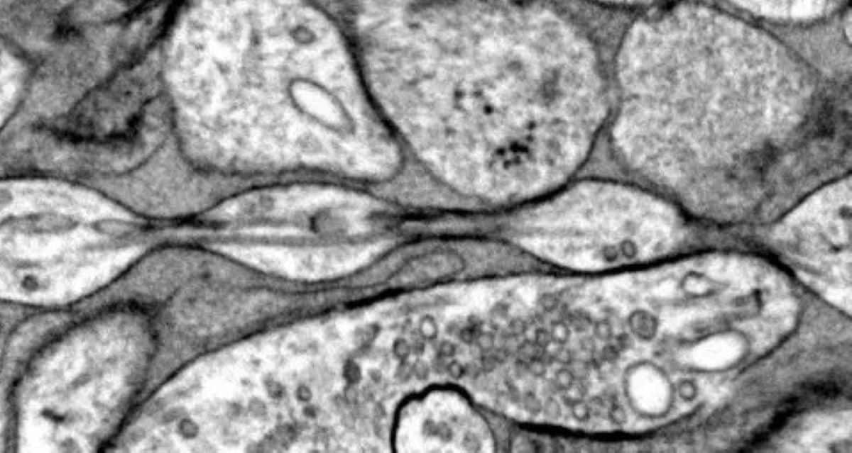
Scientists Discover Coffee as a Safer Staining Agent for Electron Microscopy
Researchers discovered that espresso coffee can effectively stain biological samples for electron microscopy, offering a safe, inexpensive, and non-toxic alternative to traditional heavy metal stains like uranyl acetate, with promising results in imaging zebrafish mitochondria, though further testing across different tissues is needed.













