
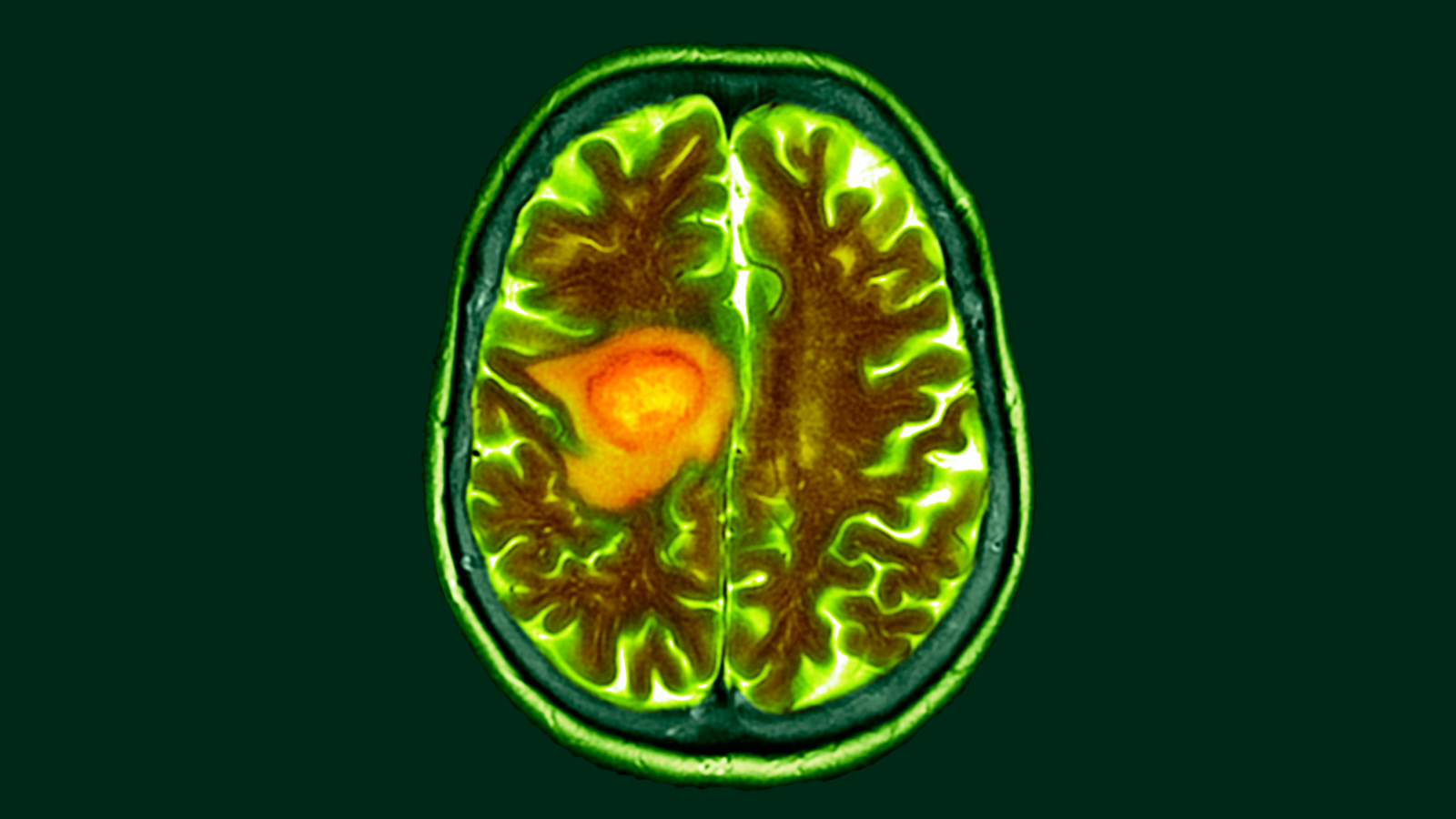
Glioblastoma survivor defies odds with ultrasound-assisted therapy
Becca Valle’s migraines led to a glioblastoma diagnosis. After tumor removal, she joined a focused ultrasound trial to temporarily open the blood-brain barrier to boost chemotherapy. In 34 participants, the approach showed a survival advantage, with up to 40% alive longer than expected; Valle has no evidence of disease four years later and says she’s living life to the fullest. The device and method are not yet FDA-approved and not widely available.













