
Brain T Cells Sacrifice Themselves to Halt Parasite Spread, Study Finds
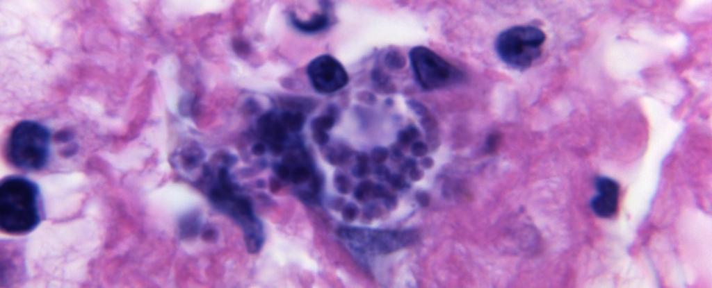
Researchers in mice found that CD8+ T cells infected by the brain parasite Toxoplasma gondii can trigger caspase-8–mediated self-destruction, killing the parasite-containing cells and preventing spread in the brain; absence of caspase-8 in these T cells leads to more brain infection, revealing a surprising protective role for T cell death and suggesting new avenues for toxoplasmosis treatment.













