
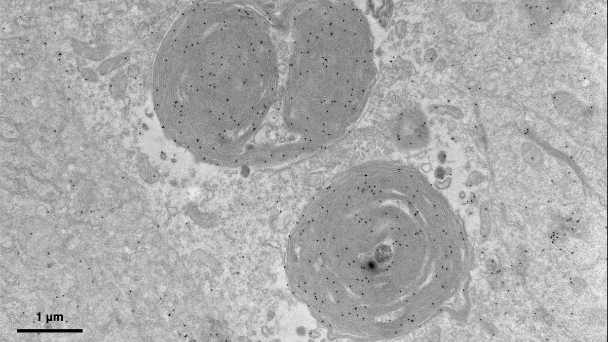
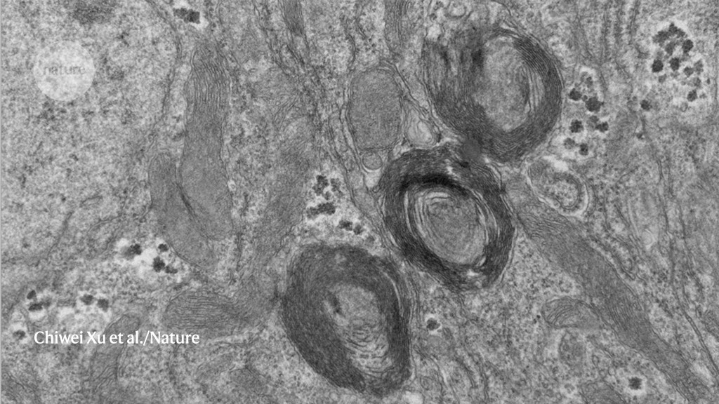
Scientists Discover New Cellular Structure Essential for Cell Function
Scientists have discovered a new organelle in human cells called the hemifusome, which appears to be involved in protein sorting and recycling, observed using advanced cryo-electron tomography imaging. This tiny structure, resembling a snowman, could provide new insights into cellular processes and diseases like Alzheimer's.






