
Diabetes Drug Metformin Linked to Slower Age-Related Vision Loss
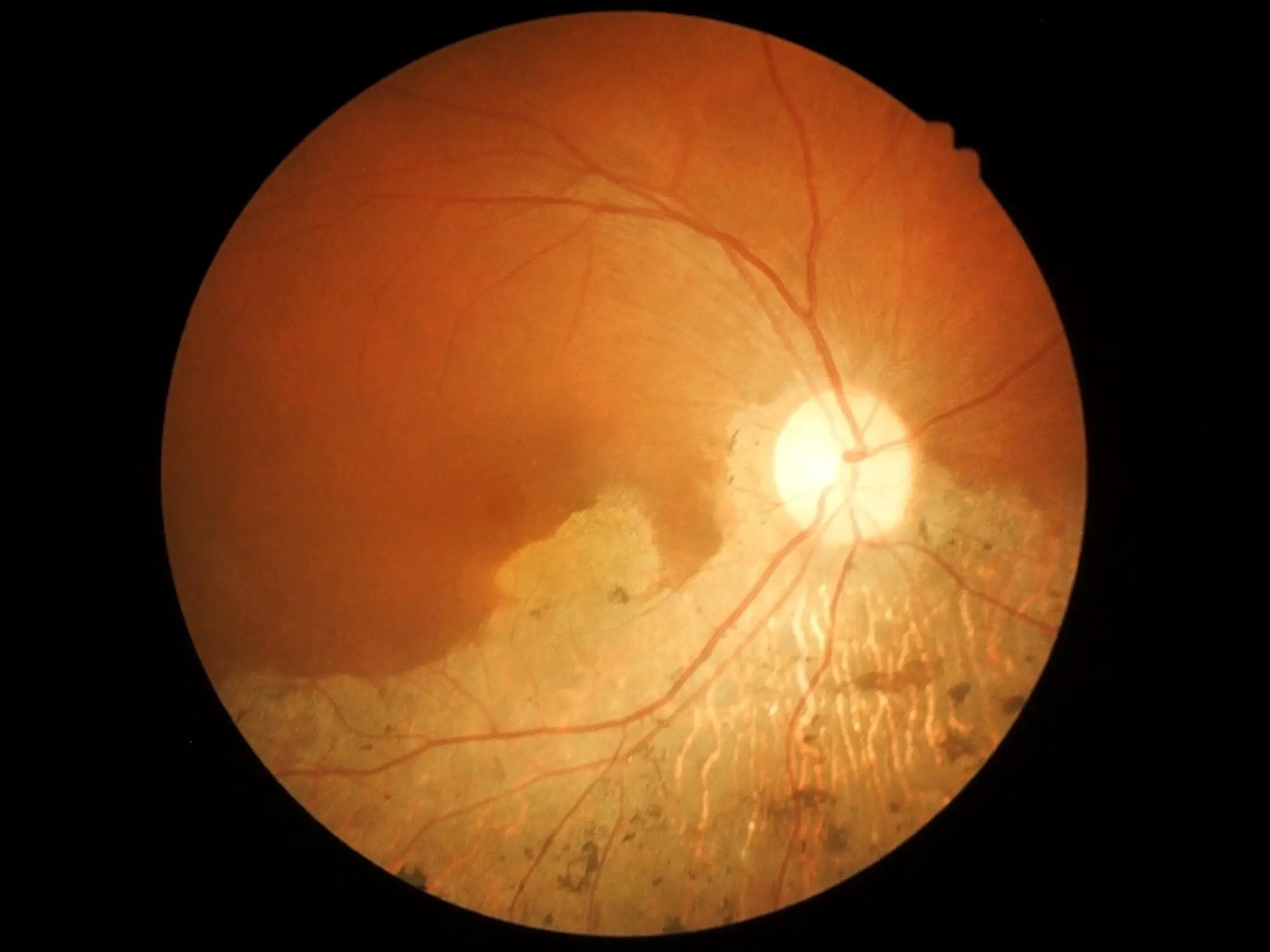
A Liverpool study of about 2,000 adults with diabetes aged 50+ found that those taking metformin had 37% lower odds of developing intermediate age-related macular degeneration (AMD) over five years compared with non-users, suggesting metformin might help slow age-related vision loss. However, researchers caution that the findings are observational and do not prove causation or support using metformin to treat AMD outside of diabetes; clinical trials are needed to confirm any benefit.













