
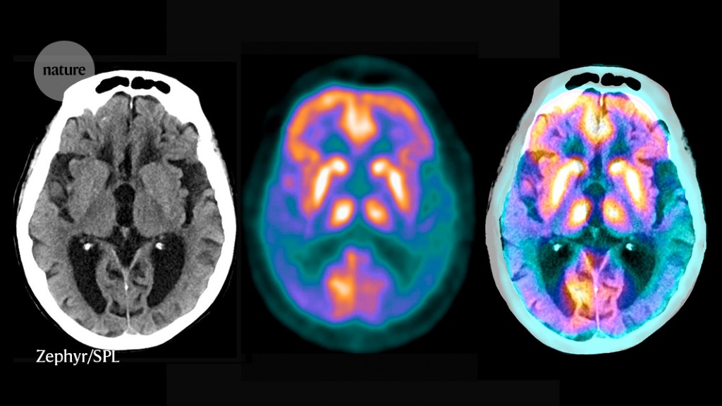
THC plus celecoxib boosts Alzheimer's therapy potential in mice
In mouse models of Alzheimer's, a low-dose THC combined with the anti-inflammatory drug celecoxib improved learning, reduced beta-amyloid and tau pathology, and lowered neuroinflammation, suggesting a feasible path to clinical testing since both drugs are already FDA-approved.






