
Understanding the Unique Processing of Traumatic Memories in PTSD
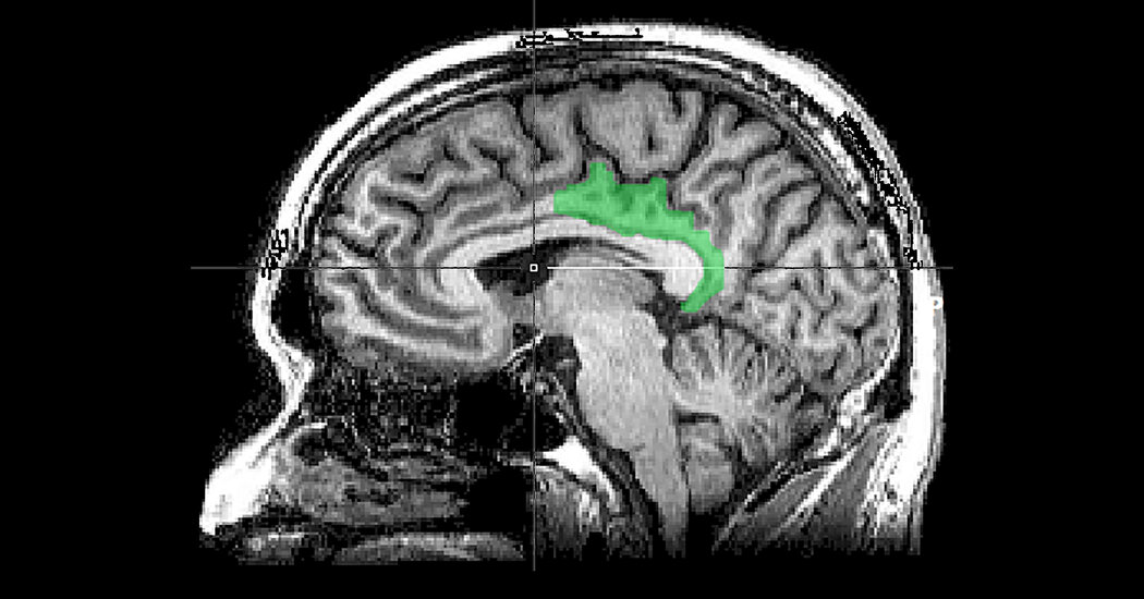
People with post-traumatic stress disorder (PTSD) process sad, non-traumatic memories differently from traumatic memories. A study published in Nature Neuroscience found that sad memories are processed in the hippocampus, while traumatic memories associated with PTSD activate the posterior cingulate cortex (PCC). The PCC is more focused on internally directed thought, while the hippocampus is responsible for organizing and contextualizing memories. The findings could potentially lead to the development of new therapies that aim to transform traumatic memories into ones that resemble non-traumatic memories.

