
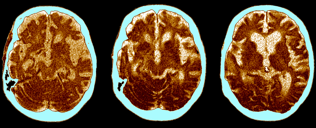
Breakthroughs in Alzheimer’s Research: Reversing Disease Signs and Boosting Brain Recovery
Scientists at the University of Kentucky developed a mouse model that can switch the APOE gene from a high-risk to a protective form in adults, leading to improvements in Alzheimer’s disease markers and cognitive function, highlighting potential gene-based therapies for the future.


