Tag

Treatment Resistant Depression

All articles tagged with #treatment resistant depression

Innovative Brain Stimulation Offers New Hope for Depression Treatment

Originally Published 3 months ago — by Indian Defence Review

Featured image for Innovative Brain Stimulation Offers New Hope for Depression Treatment
Source: Indian Defence Review

A 44-year-old man with 31 years of treatment-resistant depression experienced a significant and lasting improvement after undergoing personalized brain stimulation therapy called PACE, which tailored electrical stimulation to his unique brain activity, leading to an overwhelming feeling of joy and sustained mental health benefits over months.

Brain Stimulation and Implants Revolutionize Mental Health and Pain Treatment

Originally Published 4 months ago — by Gizmodo

Featured image for Brain Stimulation and Implants Revolutionize Mental Health and Pain Treatment
Source: Gizmodo

A man with severe, treatment-resistant depression experienced joy for the first time in decades after a personalized brain stimulation treatment targeting specific brain networks, leading to sustained remission for two years. The approach involves precise electrode implantation and adjustable stimulation based on patient feedback, representing a promising advancement in psychiatric treatment.

Compass Psilocybin Achieves Key Phase 3 Success in Depression Treatment

Originally Published 6 months ago — by Psychedelic Alpha

Featured image for Compass Psilocybin Achieves Key Phase 3 Success in Depression Treatment
Source: Psychedelic Alpha

Compass Pathways' Phase 3 trial of its synthetic psilocybin, COMP360, showed a significant separation from placebo in treating treatment-resistant depression, with no new safety concerns, marking a major milestone for psychedelic drug development. The company is now focusing on a larger, multi-dose trial expected to provide clearer efficacy data and aims for FDA submission, while preparing for potential U.S. market launch.

Neurosteroids Show Promise for Treatment-Resistant Depression

Originally Published 7 months ago — by Medical Xpress

Featured image for Neurosteroids Show Promise for Treatment-Resistant Depression
Source: Medical Xpress

Researchers review the potential of neurosteroids as a promising new treatment for treatment-resistant depression, highlighting their mechanisms, clinical evidence, and future prospects, suggesting they could offer rapid and effective relief for patients unresponsive to traditional antidepressants.

"Insights into Emotional Processing in Depression Revealed by New Study"

Originally Published 1 year ago — by Neuroscience News

Featured image for "Insights into Emotional Processing in Depression Revealed by New Study"
Source: Neuroscience News

A new study using stereotactic electroencephalography (sEEG) sheds light on how individuals with treatment-resistant depression (TRD) process emotions differently due to abnormalities in the amygdala and prefrontal cortex, revealing heightened responses to negative stimuli and weakened responses to positive ones. Deep brain stimulation (DBS) shows promise in correcting these neural discrepancies, offering potential as a treatment method that could improve both positive and negative emotional processing in TRD patients.

Study Finds First-Degree Relatives 9 Times More Likely to Develop Serious Depression

Originally Published 1 year ago — by WPTZ

Featured image for Study Finds First-Degree Relatives 9 Times More Likely to Develop Serious Depression
Source: WPTZ

Close relatives of individuals with treatment-resistant depression (TRD) are nine times more likely to develop a similar form of depression that does not respond to traditional treatments, according to a new study. The study, which used national health insurance data from Taiwan, found a genetic transmission of TRD across families and an association with other major psychiatric disorders. Family members of people with TRD were also more likely to develop other psychiatric conditions and have a higher risk of suicide. The findings suggest that alternative treatments, such as adding lithium, atypical antipsychotics, low-dose ketamine, or repetitive transcranial magnetic stimulation, should be considered earlier for individuals with a family history of TRD.

Navigating Treatment-Resistant Depression: Ketamine's History, Benefits, and Side Effects

Originally Published 1 year ago — by Forbes

Featured image for Navigating Treatment-Resistant Depression: Ketamine's History, Benefits, and Side Effects
Source: Forbes

Ketamine, though not yet FDA-approved for depression, shows promise in treating treatment-resistant depression and PTSD. Concerns over long-term efficacy and safety exist, especially with unsupervised use. Being Health in NYC offers Ketamine Infusion Therapy with stringent safety protocols and a five-step process. Ethical and safe access to ketamine-based treatments is crucial, as insurers start to cover certain stages of therapy. The FDA's approval of esketamine and evolving regulations signal a hopeful direction for mental health treatment.

"Study Finds First-Degree Relatives at 9 Times Higher Risk for Severe Depression"

Originally Published 1 year ago — by Yahoo! Voices

Featured image for "Study Finds First-Degree Relatives at 9 Times Higher Risk for Severe Depression"
Source: Yahoo! Voices

A new study found that close relatives of individuals with treatment-resistant depression (TRD) are nine times more likely to develop TRD themselves, as well as other psychiatric conditions and a higher risk of suicide. The study, based on data from the entire population of Taiwan, suggests a genetic transmission of TRD across families and an association with other major psychiatric disorders. Early awareness of TRD running in families can help with early treatment options, including considering alternative treatments such as lithium, atypical antipsychotics, ketamine, or repetitive transcranial magnetic stimulation.

"Study Finds First-Degree Relatives 9 Times More Likely to Develop Severe Depression"

Originally Published 1 year ago — by Yahoo News

Featured image for "Study Finds First-Degree Relatives 9 Times More Likely to Develop Severe Depression"
Source: Yahoo News

A new study found that close relatives of individuals with treatment-resistant depression (TRD) are nine times more likely to develop TRD themselves, as well as other psychiatric conditions and a higher risk of suicide. The study, based on national health insurance data from Taiwan, suggests a genetic transmission of TRD across families and highlights the need for early consideration of alternative treatments when standard antidepressant therapy fails, especially for those with a family history of TRD.

"Study Finds First-Degree Relatives at 9 Times Higher Risk for Severe Depression"

Originally Published 1 year ago — by CNN

Featured image for "Study Finds First-Degree Relatives at 9 Times Higher Risk for Severe Depression"
Source: CNN

A new study found that close relatives of individuals with treatment-resistant depression (TRD) are nine times more likely to develop depression that does not respond to traditional treatment. The study, based on data from the entire population of Taiwan, also revealed that family members of people with TRD were more likely to develop other psychiatric conditions and have a higher risk of suicide. The findings suggest a genetic basis for TRD, highlighting the need for considering alternate treatments earlier for patients with a TRD family history.

"Revolutionizing Depression Treatment: The Power of Transcranial Magnetic Stimulation"

Originally Published 1 year ago — by CBS Minnesota

Featured image for "Revolutionizing Depression Treatment: The Power of Transcranial Magnetic Stimulation"
Source: CBS Minnesota

Transcranial magnetic stimulation (TMS) is an FDA-approved therapy that has been around for more than a decade and is gaining attention as a potential treatment for those with treatment-resistant depression. The non-invasive treatment involves delivering pulses to the brain's neural circuitry, aiming to add energy to the brain and activate neurotransmitters. While time-consuming, with daily 30-minute sessions for six weeks, TMS has shown promising results, with nearly 70% of patients reporting a significant reduction in symptoms. This therapy is offering hope and changing lives for those struggling with depression.

"Long-lasting Relief: MRI-Guided Brain Stimulation Offers Hope for Severe Depression"

Originally Published 2 years ago — by Daily Mail

Featured image for "Long-lasting Relief: MRI-Guided Brain Stimulation Offers Hope for Severe Depression"
Source: Daily Mail

Researchers at the University of Nottingham found that using MRI scans to pinpoint the exact area of the brain to target with transcranial magnetic stimulation (TMS) could ease depression symptoms for up to six months, doubling the length of time that the treatment worked for. The study involved 255 patients with treatment-resistant depression, and two-thirds of participants responded to the treatment, with a fifth going into remission. The personalized TMS treatment, guided by MRI scans, also improved memory, anxiety, and quality of life for the patients.

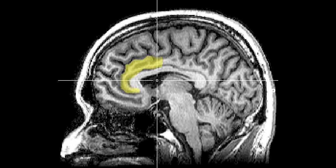
"Ketamine's Impact on Depressed Brain Connectivity Revealed in New Study"

Originally Published 2 years ago — by PsyPost

Featured image for "Ketamine's Impact on Depressed Brain Connectivity Revealed in New Study"
Source: PsyPost

New research delves into how ketamine affects brain connectivity in individuals with treatment-resistant depression, shedding light on its rapid antidepressant effects. The study, involving 50 participants, found that ketamine significantly improved depressive symptoms and the ability to anticipate pleasure compared to a placebo. Changes in brain connectivity within the anterior cingulate cortex were associated with improvements in depression and anhedonia symptoms, suggesting that different brain regions may contribute to these conditions in diverse ways. The findings provide valuable insights into the potential for targeted treatments for specific groups of patients burdened by particular symptoms.

Matthew Perry's Death: Debunking Ketamine Myths and Uncovering the Truth

Originally Published 2 years ago — by New York Post

Featured image for Matthew Perry's Death: Debunking Ketamine Myths and Uncovering the Truth
Source: New York Post

Doctors are debunking myths about ketamine following the revelation that Matthew Perry's cause of death was linked to the drug. Ketamine, primarily used as an anesthetic, has also been approved for the treatment of depression. Experts clarify that ketamine is generally safe when used as prescribed and is not powerfully addictive. They emphasize that ketamine should only be obtained and administered by licensed medical professionals, as self-administration can lead to addiction and the risk of receiving tainted products. Additionally, they warn against intranasal or micro-dosing for recreational use, as it can exceed safe limits and lead to aggressive drug-seeking behaviors. Gradual dose titrations and close monitoring are recommended for safe use.