
The Neurological Effects of Extended Space Missions: Brain Plasticity and Psychological Resilience
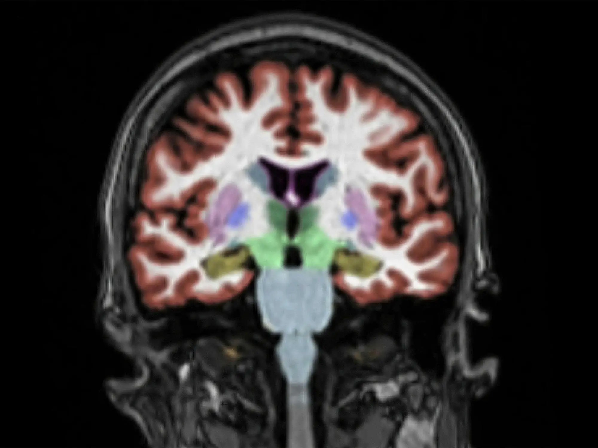
New research reveals that long-duration space travel leads to significant expansion of brain ventricles in astronauts, requiring approximately three years for full recovery. The study analyzed brain scans from 30 astronauts and found that ventricular enlargement is the most enduring change resulting from spaceflight. The expansion of ventricles is caused by fluid shifts due to the absence of gravity. The findings could impact future mission planning and the timing of repeated space travel, suggesting that astronauts should wait three years after longer missions for their brains to fully recover.



