
Living with Groundhog Day Syndrome: When Every Day Feels the Same.
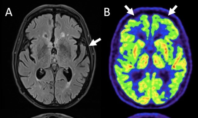
An 80-year-old man suffering from déjà vécu, a rare condition that causes a persistent false feeling that events are happening repeatedly, believed his Kindle was malfunctioning and giving him the same pages to read over and over again. MRI scans showed signs of Alzheimer's disease, which is the most common form of dementia that marks progressive and permanent cognitive decline. The patient's condition did not improve after treatment, and he continued showing signs of Alzheimer's for four years.

