Engineered virus primes immune attack against glioblastoma

TL;DR Summary
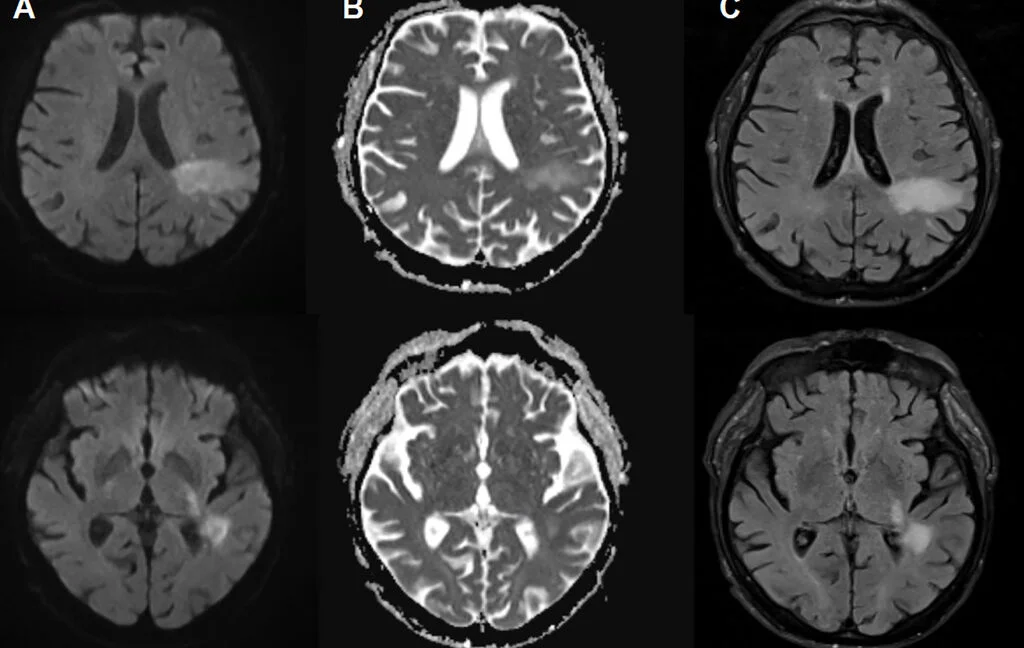
A phase 1 trial in 41 patients with recurrent glioblastoma found that a single injection of a modified herpes simplex virus can kill tumor cells and recruit enduring T cell activity into the tumor, correlating with longer survival than historical outcomes.
Reading Insights
Total Reads
0
Unique Readers
3
Time Saved
5 min
vs 6 min read
Condensed
96%
1,082 → 41 words
Want the full story? Read the original article
Read on ScienceDaily