
AI Unravels 25-Year Crohn’s Disease Mystery and Identifies Protective Proteins
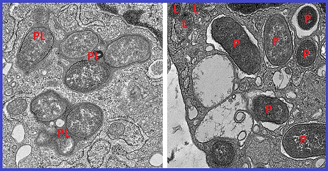
UC San Diego researchers used AI and molecular biology to uncover how the NOD2 gene influences macrophage behavior in Crohn's disease, revealing that mutations disrupt the balance between inflammatory and healing macrophages, which contributes to the disease's development.
