
Imran Khan's jail eye check-up shows improving vision amid macular edema
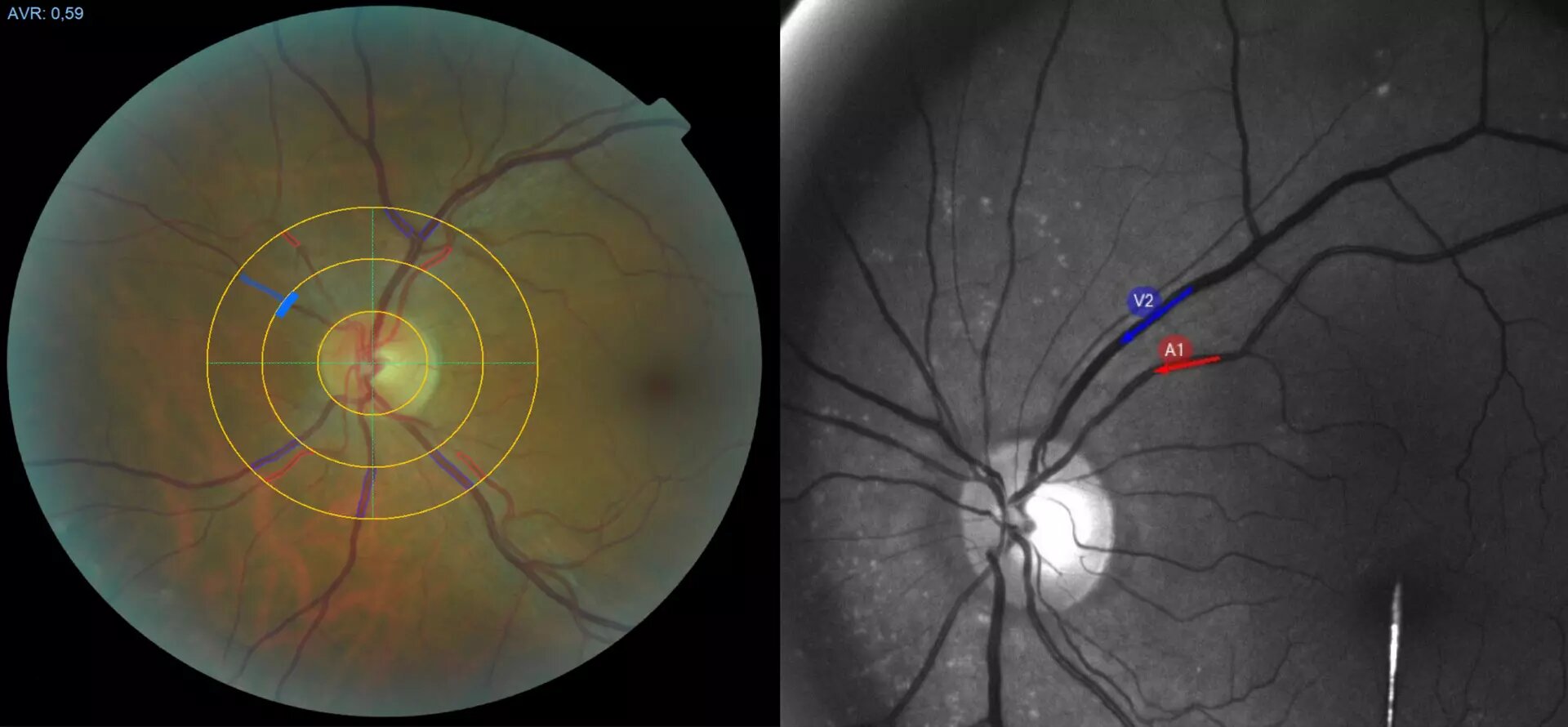
A medical board examined Imran Khan in Adiala jail, reporting right-eye vision of 6/36 unaided improving to 6/9 with glasses, and left-eye vision 6/6; slit-lamp results showed clear corneas with notable retinal changes in the right eye, including mild intravitreal hemorrhage, disc hyperemia, and moderately dense retinal hemorrhages with cotton-wool spots, while the left eye was normal. Optical coherence tomography confirmed resolving macular edema with central macular thickness dropping from 550 to 350. The panel recommended Nevanac, Co-Sopt, and Systane eye drops and noted a possible second anti-VEGF dose. Officials said the update satisfied Khan’s personal physicians and political leaders amid previous concerns over the inspection’s timing and transparency.
