
"Superbugs Identified as Culprit Behind 'White Lung' Pneumonia Outbreak, Say Chinese Doctors"
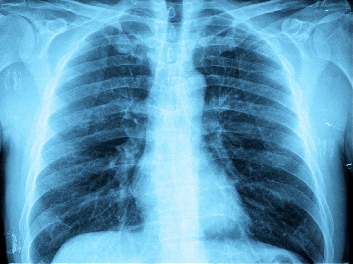
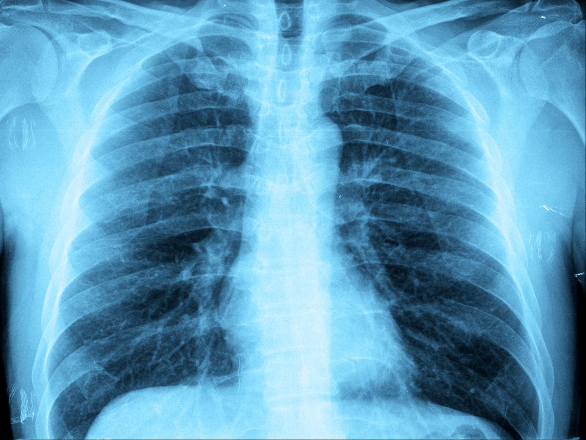
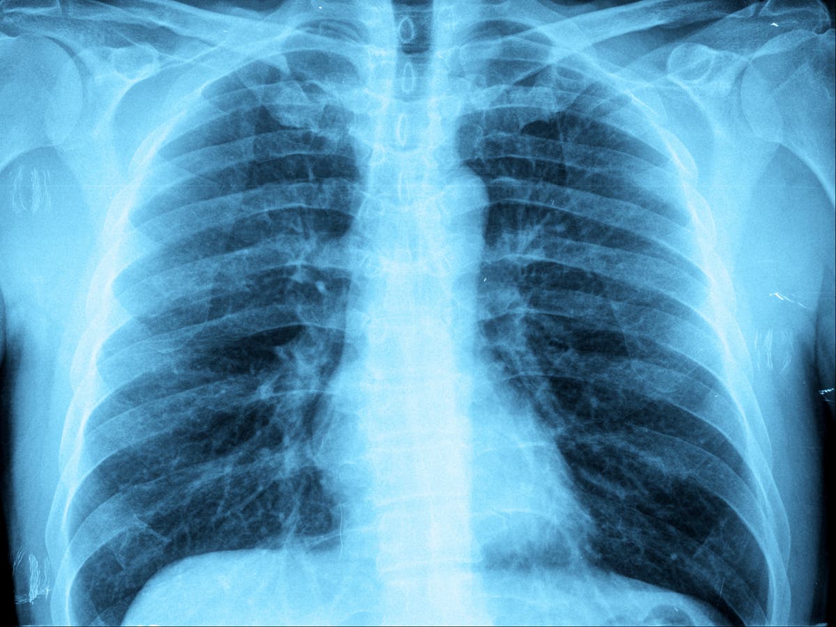
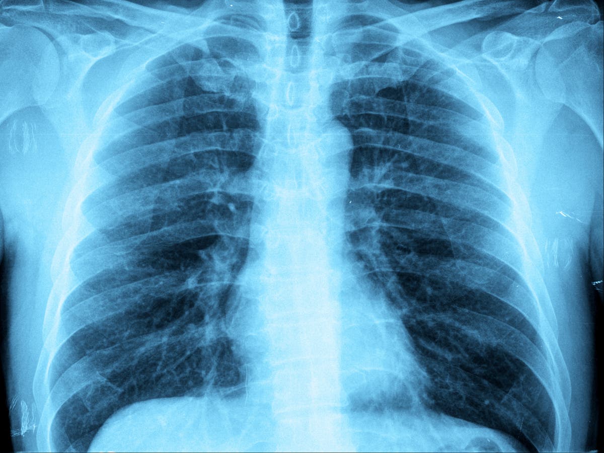
Doctors in China suspect that the recent 'white lung' pneumonia outbreak, which primarily affected children, may have been driven by antibiotic-resistant infections known as superbugs. Tests have revealed a surge in mycoplasma pneumoniae infections, a bacteria that can trigger pneumonia, with 90% of cases in China now resistant to common antibiotics. Overprescription and overuse of antibiotics, as well as the practice of administering antibiotics via intravenous drips, have contributed to the rise of antibiotic resistance. The outbreak in China, characterized by white patches on X-rays of the lungs, has prompted concerns about the lack of effective treatments for children and the need to curb antibiotic drug resistance.













