
Resurgence of Skin Rash Amid Pandemic Recovery.
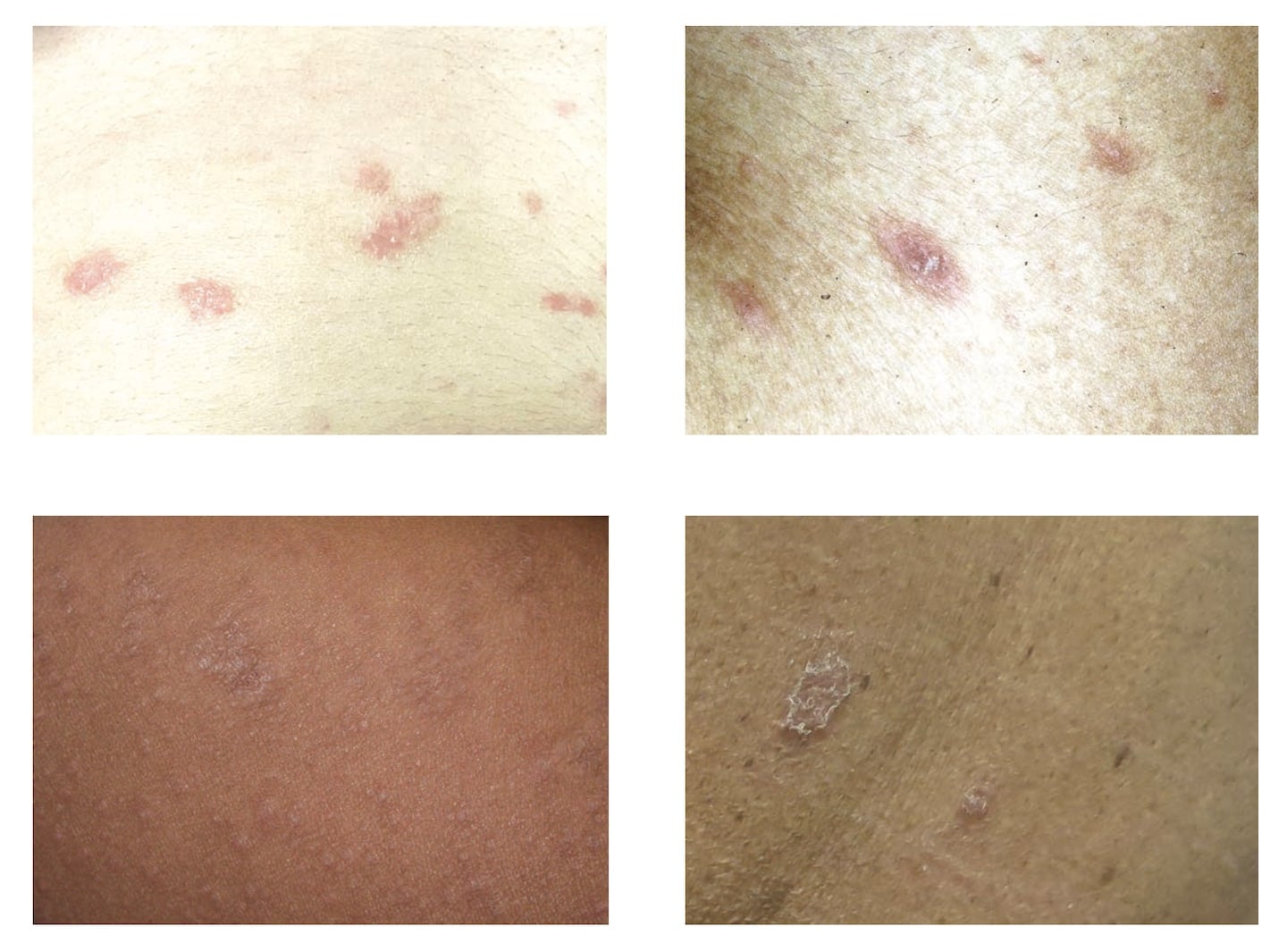
Pityriasis rosea, a temporary but often unbearably itchy skin rash, almost disappeared during the pandemic but has now resurged. The cause of the rash is unknown, but its pandemic-related behavior suggests that an infectious agent, possibly spread through respiratory droplets or saliva, may be to blame. Some evidence points to human herpesviruses 6 and 7, which have been found in patients' skin lesions and saliva. Diagnosing pityriasis rosea can be difficult, and it can be life-altering due to its intolerable itchiness. Remedies include prescription topical steroid cream, nonsteroidal anti-inflammatory creams, over-the-counter antihistamines, oatmeal baths, and moisturizers.


