
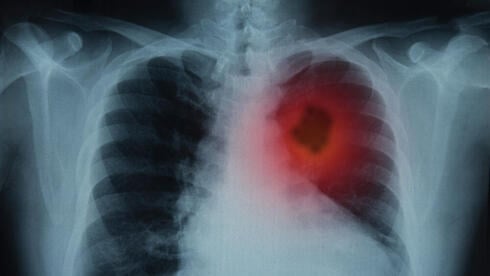
Patritumab Deruxtecan Application Withdrawn for EGFR-Mutated Lung Cancer
Merck and Daiichi Sankyo have voluntarily withdrawn their Biologics License Application for patritumab deruxtecan for treating EGFR-mutated non-small cell lung cancer after the Phase 3 trial failed to meet overall survival endpoints, despite promising progression-free survival results.



