
CDC Reports Alarming Increase in Brain Abscesses Among American Children
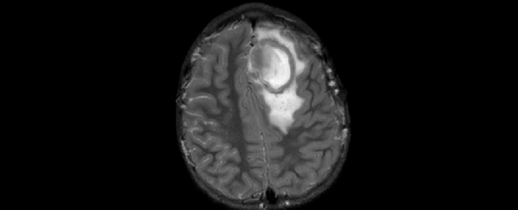
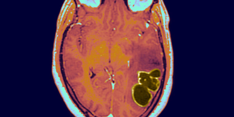
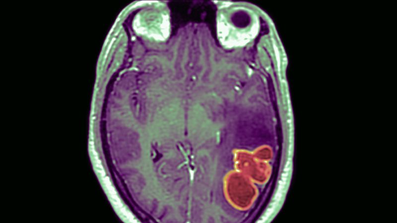
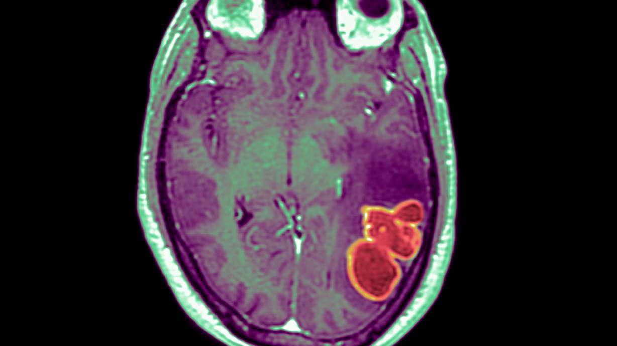
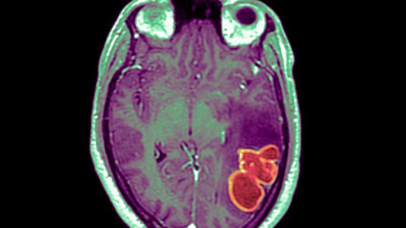
Cases of brain abscesses in American children have surged to new heights following the easing of pandemic restrictions, according to reports from the CDC. These abscesses, which are relatively rare but dangerous, are typically caused by bacteria or fungi entering the brain through respiratory infections such as COVID-19, the flu, or sinusitis. The CDC emphasizes the importance of children staying up-to-date with their vaccinations to prevent these infections. While cases have fallen since a peak in December 2022, they remain above the baseline maximum, indicating the need for continued monitoring and vigilance.







