
Silent Tooth Infection Reveals Life-Threatening Brain Abscess
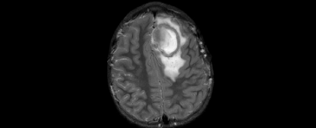
A man in the UK was diagnosed with a life-threatening brain abscess caused by an infected cracked tooth, despite having no oral symptoms. He underwent emergency brain surgery and treatment for sepsis, and is now recovering with ongoing therapy. The case highlights the importance of prompt medical attention for infections that can lead to severe complications.

