Researchers used AI to detect hidden signs of consciousness in comatose patients by analyzing subtle facial movements, potentially allowing earlier and more accurate diagnosis of covert consciousness, which could improve treatment for brain injury patients.
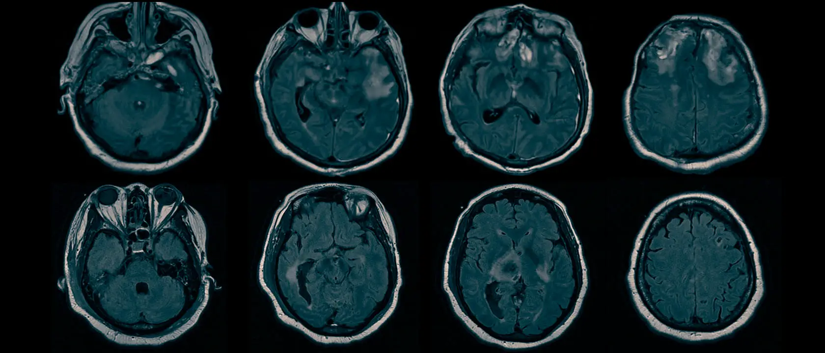
Scientists from Columbia University have identified brain injuries that may be responsible for hidden consciousness in patients with brain damage. Hidden consciousness, also known as cognitive motor dissociation (CMD), occurs when individuals with brain injuries appear unconscious but retain some degree of awareness. Using EEG and structural MRI scans, the researchers found that patients with CMD had intact brain structures related to arousal and command comprehension, suggesting that they could hear and understand verbal commands but were unable to carry them out due to disruptions in brain circuits responsible for relaying instructions to the muscles. These findings could help identify brain-injured patients with hidden consciousness and improve predictions of recovery with rehabilitation. Further research is needed before these approaches can be applied in clinical practice.