
Understanding and Preventing White Lung Pneumonia: Expert Insights
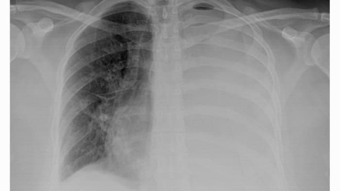
A local pediatrician in Belleville, Michigan, is clarifying that "white lung syndrome" is just another term for pneumonia, which is common during this time of year. The term does not refer to a new strain or infection. A 6-year-old boy in Belleville recently experienced a severe case of bacterial pneumonia, and his mother discovered the term while searching for answers online. The boy was eventually diagnosed and treated in the hospital. The CDC states that pneumonia cases are consistent with pre-pandemic levels, with occasional clusters. The pediatrician advises parents to advocate for their children and seek medical attention if symptoms such as coughing, trouble breathing, and fever persist.








