Measles and Flu Updates in Montana Counties
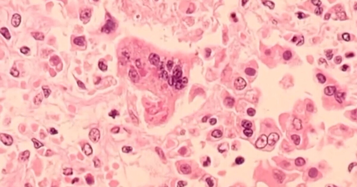
Two new cases of measles have been confirmed in Gallatin County, prompting health officials to identify and notify individuals exposed at various public sites. The health department emphasizes the importance of MMR vaccination for prevention and advises monitoring for symptoms, which typically appear 7 to 14 days after exposure.



