
Injured Cells Release Waste to Accelerate Healing
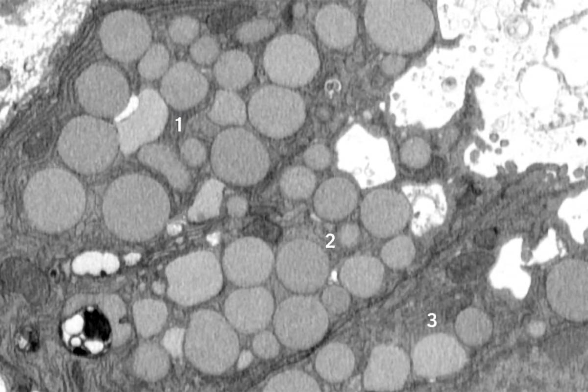
A new study reveals that injured cells can rapidly expel waste through a process called cathartocytosis to accelerate healing, a mechanism that may also increase cancer risk but could help in early detection of precancerous conditions.